| 4.3.1 Zdroje ionizujícího záření využívané ve zdravotnictví |
|
Ozáření lidí vyšetřovaných nebo léčených pomocí zdrojů ionizujícího záření je bezpochyby nejvyšším ozářením obyvatel mimo přírodní zdroje, na ozáření obyvatelstva se podílí 11 %. V některých zemích je to dosud prakticky jediné ozáření obyvatel z umělých zdrojů. Dávky z lékařské expozice se u jednotlivých obyvatel významně liší, od hodnot nulových po hodnoty tisícinásobně převyšující dávky z normálního přírodního pozadí. Vzhledem k významnému podílu na radiační zátěži obyvatelstva se zvažuje zavedení registru dávek lékařského ozáření.
Zdroje ionizujícího záření používané na radioterapeutických odděleníchZdroje ionizujícího záření na radioterapeutických odděleních jsou využívány jak pro zevní ozáření, tak pro brachyterapii. Zevní ozáření se provádí zejména na přístrojích, které produkují fotonové záření o vysoké energii. Těmito přístroji mohou být urychlovače částic nebo kobaltové a cesiové ozařovače. K radionuklidovým zdrojům řadíme také Leksellův gama nůž. V brachyterapii se v současné době k aplikaci záření používají automatické afterloadingové přístroje.
Kobaltové a cesiové ozařovačeKobaltové a cesiové ozařovače jsou zdrojem záření gama. Kobalt 60Co má fyzikální poločas přeměny 5,29 roku. Emituje záření gama o 2 energiích 1,33 a 1,17 MeV, které jsou velmi pronikavé. 60Co bývá uzavřen ve formě plochých kroužků anebo drobných válečků (1 x 1 mm) v hliníkovém nebo ocelovém kontejneru (24 x 24 mm). Ochranná hlavice má tvar koule o průměru až 60 cm. Je z olova a uvnitř je jádro z wolframové slitiny nebo uranu (mají vyšší absorpci než olovo). Hlavice má kanálový otvor, z něhož vystupuje primární svazek záření γ. Cesium 137Cs emituje kvantum záření gama o energii 0,66 MeV. Jeho fyzikální poločas přeměny je dokonce 30,07 roku. Díky relativně dlouhým fyzikálním poločasům 60Co a 137 Cs klesá intenzita záření γ produkovaného těmito ozařovači s časem velmi pozvolně.
Kobaltový ozařovač. Leksellův gama nůžV případě Leksellova nože je polosféricky umístěno 201 zdrojů záření gama izotopu kobaltu 60Co, přičemž svazky paprsků z těchto zdrojů jsou usměrněny kolimátory tak, že se protínají ve společném ohnisku uvnitř polosférického prostoru. Zatímco dávka záření jednotlivého svazku paprsků je relativně malá, v ohnisku, kde se dávky protínají, se tyto dávky sčítají. Dávka v ohnisku je proto vysoká a vyvolává v živé tkáni biologickou odpověď, dávka vyvolaná jednotlivým paprskem signifikantní odpověď nevyvolá. Dávkový gradient mimo ohnisko, ve kterém se svazky protínají, v rozmezí několika milimetrů do okolí prudce klesá. Pokud do ohniska umístíme cíl, který chceme při funkční stereotaktické operaci postihnout, vytvoříme při vhodné dávce ostře ohraničenou malou nekrotickou lézi, přičemž okolní tkáň je šetřena.
Leksellův gama nůž.
Urychlovače částicUrychlovače částic jsou zařízení, v nichž dochází k umělému zrychlování elektricky nabitých elementárníchčástic nebo iontů tak, že získají vysokou kinetickou energii. Urychlené částice se využívají v radioterapii k produkci pronikavého brzdného záření. Z hlediska tvaru dráhy urychlovaných částic můžeme urychlovače rozdělit na:
Betatron byl poprvé léčebně použit v roce 1948. Jde o zařízení urychlující elektrony na kruhové dráze. Mezi dvěma póly elektromagnetu je umístěna vzduchoprázdná trubice ze skla nebo porcelánu (urychlovací komora). Do ní se tangenciálně v přesných časových intervalech vystřelují elektrony z katodové trubice, tzv. injektoru. Tím, že se rychle letící elektrony dostávají do magnetického pole, zakřivuje se jejich dráha a pokračují po kruhové dráze, na niž se pak soustavně urychlují. V evakuované urychlovací trubici nenarážejí na žádný odpor a jejich rychlost se dokonce blíží rychlosti světla. Poté se magnetické a elektrické pole oslabuje, elektrony se začnou pohybovat po spirále směrem vně, kde buď vyletují (terapie rychlými elektrony), nebo dopadají na wolframový terčík, na kterém vzniká zabržděním rychlých elektronů velmi tvrdé brzdné rentgenové záření, dosahující energie až desítek MeV.
Schéma betatronu.
Cyklotron zkonstruoval roku 1937 americký fyzik E. O. Lawrence. Jedná se o kruhový urychlovač, který se používá k urychlení těžkých nabitých částic (protonů, deuteronů, částic alfa a iontů) po spirální dráze. Částice se pohybují uvnitř dvou polokruhových komor (duantů) umístěných mezi pólovými nástavci obrovského magnetu. Duanty jsou umístěny ve vzduchoprázdném prostoru mezi dvěma póly elektromagnetu a jsou připojeny na vysokofrekvenční generátor napětí. Silné magnetické pole způsobuje zakřivení dráhy částice, která je emitována ze zdroje a v duantu opisuje půlkruhovou dráhu. Jakmile se částice dostane na okraj jednoho duantu, přitahuje se opačně nabitým druhým duantem. K vlastnímu urychlování částice dochází právě při přechodu od jednoho duantu k druhému. Protože náboj urychlované částice je kladný, musí být změna znaménka náboje na duantech synchronizovaná s pohybem částice. Dostatečně urychlené částice se vychylují záporně nabitou deštičkou ze spirálové dráhy do výstupního okénka cyklotronu.
Schéma cyklotronu.
Lineární urychlovač byl poprvé k léčbě použit v roce 1953 a v současné době patří mezi základní přístrojové vybavení pro zevní ozařování. Používá se k urychlení nabitých částic účinkem elektrického pole. Je tvořen dlouhou přímou urychlovací trubicí obsahující řadu válcových elektrod. Částice je urychlována elektrostatickým polem mezi elektrodami. Ty jsou přepólovány v okamžiku, kdy je částice uvnitř elektrody, a tudíž na ní elektrostatické pole nepůsobí. Délka jednotlivých elektrod je volena tak, aby se při průletu částice vnitřkem elektrod stihla změnit jejich polarita. S nárůstem velikosti rychlosti částice tedy roste i délka elektrod. Díky zvyšující se rychlosti se zkracuje i doba průletu elektrodou. Protože však frekvence generátoru je konstantní (frekvence přepólování elektrod je stálá), musí být doba průletu každou elektrodou stejná.
Schéma lineárního urychlovače.
V lékařství se urychlených částic používá buď přímo k léčebným účelům, nebo se tyto urychlené částice nechají dopadnout na terčík, kde dochází k získávání rentgenových paprsků s velmi krátkou vlnovou délkou.
Lineární urychlovač.
BrachyterapieBrachyterapie je metoda, při které jsou radioaktivní zářiče zaváděny do orgánů. Nejpoužívanějším izotopem v brachyterapii bylo radium 226 Ra. Výhodou byl dlouhý poločas přeměny (1620 let), takže nebylo nutné měnit zdroje. K nevýhodám patřila možnost úniku radonu 222Rn. Později se začaly uplatňovat také umělé radioizotopy (cesium 137Cs, iridium 192Ir, zlato 198Au, jód 125I). Radioizotopy se nejprve zaváděly přímo ručně, což bylo spojeno se značnou expozicí personálu. V 80. letech se začal používat dálkově ovládaný (automatický) afterloading. Automatický afterloadingový přístroj se skládá ze zásobního kontejneru, který tvoří stínění pro jeden nebo více zdrojů. Zdroje zvolené pro aplikaci jsou vybrány ze zásobníku buď mechanicky tenkým lankem nebo pneumaticky. Zdroje jsou uzavřeny v pevném kovovém obalu, takže je vyloučeno jejich uvolnění. Obvykle je nejprve do orgánu zavedena trubička z plastické hmoty (aplikátor), do které se vloží jen maketa zářiče. Teprve po kontrole správnosti zavedení je do aplikátoru zaveden vlastní zářič cesium 137Cs, iridium 192Ir.
Automatický afterloadingový přístroj.
Zdroje ionizujícího záření používané na radiologických odděleníchMezi základní vyšetřovací techniky využívající rentgenových paprsků, které jsou generovány rentgenkou, patří skiagrafie (statické pozorování nálezu) a skiaskopie (dynamické studie). U skiagrafických vyšetření se obraz vytváří buď přímým působením rentgenového svazku na filmu, nebo svazek záření dopadá přímo na digitální senzor, například ve stomatologii používané zubní rentgeny, nebo rentgenové záření prochází přes zesilující folii, která je umístěna v kazetě a je v přímém kontaktu s filmem. Na principu zeslabení svazku záření po průchodu pacientem je také založena výpočetní tomografie.
RentgenkaZdrojem rentgenového záření je rentgenka, což je skleněná, evakuovaná trubice (Coolidgeova lampa). Ve vzduchoprázdném prostoru trubice je zabudována žhavená katoda (ve formě spirály) a anoda. Ta má u rentgenek s pevnou anodou tvar terčíku a u rotačních anod tvar talíře. Katoda a anoda jsou z wolframu. Wolfram je kov o vysokém protonovém čísle a vysokém bodu tání, snáší teploty až do 3 000 oC a hodí se také k brždění prudce letících elektronů. Vložíme-li mezi katodu a anodu napětí desítek až stovek kV, vylétnou elektrony z katody a dopadnou prudce na anodu. Více než 99 % kinetické energie elektronů se změní v teplo a méně než 1 % v rentgenové záření brzdné a charakteristické.
Schéma rentgenky. SkiagrafieSkiagrafie je technika zobrazení lidských tkání, využívající rozdílnou hodnotu pohlcení procházejícího svazku rentgenového záření v různých tkáních. Výsledkem je obraz zachycený na citlivý materiál - rentgenový film či detekční systém přístroje. Ze získaného obrazu pak lze vyhodnotit vnitřní stavbu vyšetřovaného orgánu a jeho případné patologické stavy. Rentgenové vyšetření se hodí zejména k vyšetřování kostí, kloubů, páteře, plic, ale lze zobrazit i měkké tkáně.
Rentgenový přístroj.
Skiagrafický snímek ramene.
SkiaskopieSkiaskopie je radiologická vyšetřovací metoda, která pomocí rentgenového záření umožňuje zobrazení lidského těla v reálném čase. Při vyšetření je kontinuální informace vytvářena dopadem rentgenového záření na fluorescenční stínítko zesilovače obrazu, spojeného s televizním řetězcem a TV monitorem. Záznam obrazu se provádí buď v digitální podobě, nebo na filmový materiál, případně s použitím jiné dokumentační techniky. Využívá se především k zobrazení trávicí trubice, zobrazení žlučových cest, zobrazení močového měchýře a vývodných cest močových, páteřního kanálu či některých patologií (píštěle…). Orgány jsou zobrazovány pomocí kontrastní látky, která zabraňuje průchodu rentgenového záření.
Skiaskopické pracoviště.
Kontrastní vyšetření tlustého střeva (irrigografie).
Zubní rentgenyZákladním vybavením každé stomatologické ordinace je v současné době intraorální rentgen, který umožňuje získat výborné snímky vyšetřované oblasti s minimální dávkou záření. Rentgenové paprsky po průchodu tkání dopadají přímo na film nebo na digitální senzory, jejichž výhodou je v podstatě okamžité získání snímku.
Intraorální zubní rentgen. Případně je možné využít panoramatické dentální rentgeny (tzv. OPG), které umožňují přehledné a podrobné zobrazení celé čelisti v rámci jednoho snímku.
Panoramatický dentální rentgen.
Výpočetní tomografieVýpočetní tomografie (CT - Computed Tomography) je zobrazovací metoda využívající digitální zpracování dat o průchodu rentgenového záření v mnoha průmětech vyšetřovanou vrstvou. Princip je stejný jako při klasickém snímkování - jde o zeslabení procházejícího rentgenového záření ve vyšetřovaném objektu. Svazek záření vycházející z rentgenky je vycloněn do tvaru vějíře, jehož šířka určuje šířku zobrazované vrstvy. Záření po průchodu vyšetřovaným objektem (pacientem) dopadá na detektory uložené naproti rentgence. Zde se množství dopadajícího záření převádí na elektrický signál, který dále zpracovává počítač. Během rotace jsou provedeny stovky měření, z nichž počítač rekonstruuje obraz vyšetřované vrstvy (je dán hodnotami absorpčních koeficientů z jednotlivých míst dané vyšetřované vrstvy).
Pracoviště výpočetní tomografie.
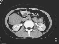
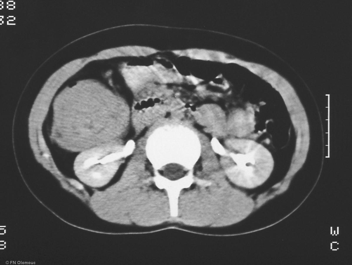
CT snímek břicha.
Nové metody rentgenových vyšetření, zejména pak výpočetní tomografie a intervenční metody pod rentgenovými přístroji, jsou diagnosticky i terapeuticky vysoce efektivní. Při zvyšování kvality léčby zůstává rentgenové záření účinným nástrojem lékařů. Celosvětově a také u nás se však stále rozšiřuje škála i množství indikací k vyšetření pacientů. Tím rovněž narůstá takzvaná kolektivní dávka. Typické hodnoty efektivních dávek pro vybraná konvenční rentgenová a CT vyšetření ve srovnání s ozářením z přírodních zdrojů jsou uvedeny v tabulce. Vzhledem k tomu, že tabulka je převzata z údajů Evropské komise, jsou efektivní dávky pro jednotlivá vyšetření vztaženy k hodnotě 2,2 mSv, což je průměrná efektivní dávka z přírodního pozadí pro státy Evropské unie. Jak již bylo zmíněno v úvodu, průměrná hodnota efektivní dávky v České republice dosahuje úrovně 3,4 mSv za rok, proto by doba ozáření z přírodních zdrojů uvedená v tabulce byla úměrně kratší.
Zdroje ionizujícího záření používané na odděleních nukleární medicínyV nukleární medicíně se uplatňují pouze umělé radionuklidy, které mají vhodné fyzikální charakteristiky:
Diagnostické metody v nukleární medicíně využívají radionuklidy emitující gama záření. Při vyšetřeních in vivo se do těla aplikují radiofarmaka (intravenózně, parenterálně) a pomocí vhodných přístrojů detekujících záření gama se neinvazivním způsobem studují fyziologické a biochemické procesy v těle, lokalizující se a diferencují se patologické změny. Vyšetření in vitro zahrnují metody využívající radioaktivních látek ke stanovení například koncentrace hormonů nebo protilátek v krvi. U těchto metod se pracuje pouze se vzorkem krve, proto neznamenají žádnou radiační zátěž pro pacienta. Pro terapii některých maligních a benigních onemocnění se používají radionuklidy emitující záření β. Jedná se zejména o léčbu onemocnění štítné žlázy radiojódem 131I, paliativní terapii metastáz v kostech 89Sr-chloridem, 186Re-HEDP a 153Sm-EDTMP (zejména při karcinomech prostaty a prsu) a pro léčbu chronických kloubních onemocnění 90Y-koloidem. Jelikož záření β těchto radionuklidů má v tkáni dosah jen několik mm, prakticky veškerá jeho energie se absorbuje v cílovém ložisku. Některé čisté γ zářiče pro diagnostické účely jsou produkovány radionuklidovými generátory. Ty jsou konstruovány na principu přeměny mateřského radionuklidu s dlouhým fyzikálním poločasem přeměny na krátkodobý dceřiný radionuklid, jehož se využívá ke značení radiofarmak. Na odděleních nukleární medicíny v České republice se nejvíce využívá technecium 99mTc, který se získává z generátoru 99Mo-99mTc. Obdobně se získává rubidium (generátor 81Rb/81mKr). Kromě generátorů se radionuklidy pro lékařské použití připravují také v cyklotronu (67Ga, 123I, 111In a 201 Tl pro SPECT a krátkodobé radionuklidy 11C, 13N, 15O a zejména 18F pro pozitronové zobrazovací systémy. Dále se radionuklidy pro nukleární medicínu vyrábí v jaderném reaktoru (32P, 51Cr, 59Fe, 131I, 133Xe a další). Izotopy různých prvků jsou oddělovány příslušnými chemickými postupy, ale v důsledku podobného chemického chování bývá obvykle problematické izolovat požadovaný radionuklid v čisté formě. Přehled nejčastěji používaných radiofarmak a hodnoty efektivních dávek u vybraných vyšetření jsou uvedeny v tabulce. Nahromadí-li se radiofarmakum v dostatečném množství ve vyšetřovaném orgánu, je možné pomocí zevní detekce záření γ orgán zobrazit. Zobrazovací systémy poskytují obraz a dávají informaci o distribuci radiofarmaka v zorném poli detektoru. Přístroje, které detekují záření vycházející z radiofarmak rozdělených v organizmu, jsou prakticky výhradně založeny na scintilačním principu detekce. Podle způsobu zobrazení je můžeme rozdělit na planární a tomografické (SPECT, PET). V tomografickém obraze je kontrast obrazu podstatně vyšší než v obraze planárním. Při SPECT se jedná o obraz jen zvolené vrstvy tkáně obsahující v uvedeném příkladě lézi v zobrazované vrstvě.
Planární scintigrafiePo aplikaci radioindikátoru dochází k jeho distribuci v určitých částech organismu, tuto distribuci pomocí zevní detekce vycházejícího záření γ zobrazujeme scintilační kamerou , v počítači vznikají digitální scintigrafické obrazy, které jednak hodnotíme vizuálně, jednak můžeme pomocí křivek matematicky analyzovat vyšetřované procesy a počítat kvantitativní parametry funkce jednotlivých orgánů.
Schéma scintigrafického procesu.
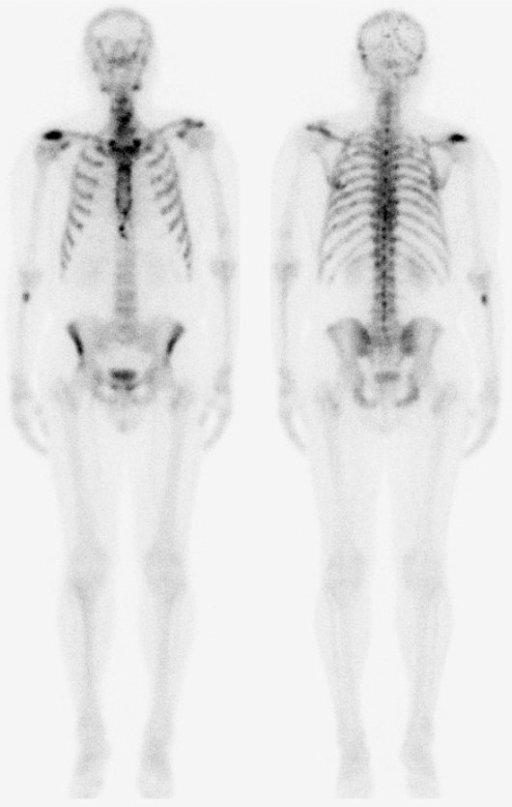
Scintigrafie skeletu.
Jednofotonová emisní výpočetní tomografie (SPECT)SPECT je zobrazovací metoda, která dokáže zobrazit prostorové rozložení radiofarmaka v lidském těle. Gantry umožňuje pohyb detektoru kolem těla pacienta v malých úhlových krocích, případně jsou přístroje vybavovány zařízením, které automaticky udržuje optimální vzdálenost detektoru od povrchu těla pacienta. Při vyšetření se otáčením jednoho až tří detektorů kolem těla pacienta zhotovuje velké množství projekcí. Získaná data jsou uchována v paměti počítače pro další zpracování a rekonstrukci obrazů ve třech základních vzájemně kolmých rovinách - transversální, frontální a sagitální. Na rozdíl od rentgenových metod, které zobrazují tělní struktury, se tato metoda soustředí na zobrazení funkce daných orgánů.
SPECT.
Pozitronová emisní tomografie (PET)Základním principem pozitronové emisní tomografie je detekce dvou anihilačních fotonů gama vzniklých ve tkáni při interakci pozitronu s elektronem. Tyto dva fotony, které vzniknou ve stejný okamžik, mají stejnou energii 511 KeV a emitují v opačných směrech (v úhlu 180 stupňů) do okolního prostoru a dopadnou na dva protilehlé detektory. Tyto detektory jsou spojeny tzv. koincidenčním obvodem, tudíž zachytí jen fotony dopadající na oba protilehlé detektory současně, tedy právě jen ten případ, kdy došlo k anihilaci. Detektory jsou uspořádány ve tvaru prstence. PET kamera musí obsahovat buď sudý počet detektorů rotujících kolem pacientova těla anebo obsahuje velké množství detektorů ve stacionárních prstencích uspořádaných v řadách. Výsledná informace se dále zpracovává, což umožní rekonstrukci přesné polohy bodů, kde došlo k anihilaci. Tak se získá obraz prostorového rozložení radiofarmaka v organizmu. Radiofarmaka pro zobrazování PET jsou obvykle organické sloučeniny, které se aktivně podílejí na základních biologických procesech. K jejich označení se používají některé radioizotopy biogenních prvků emitující pozitrony. Tyto zářiče se připravují uměle, většinou přímo na oddělení v cyklotronu. Jde především o radionuklidy 11C, 13N, 15O, a hlavně18F. Tato metody je využívána především v neurologii, kardiologii a onkologii.
Pozitronová emisní tomografie. PET/CTJedná se o integraci PET a CT vyšetření do jediného přístroje. Jedinečnost kombinovaného PET/CT vyšetření spočívá ve spojení funkčních a anatomických informací. Pomocí počítače lze provést spojení (fúzi) obrazů z obou modalit (PET i CT) a lze přesně určit, ve které anatomické struktuře se nachází patologické ložisko se zvýšenou metabolickou aktivitou (např. nádor). Přístroj umožní odhalit nádory v mnohem časnějším stadiu, což je pro úspěšnost léčby velice významné.
PET/CT
|