| 5.3.1 Kostní dřeň |
|
U pacientů po expozici malých a středně letálních dávkách ionizujícího záření se objevuje útlum krvetvorby 0,7 Gy a výše se objevuje na dávce závislý útlum krvetvorby v důsledku malé až nulové produkce krevních buněk vedoucí k pancytopénii. Míra poškozených kmenových buněk je úměrná dávce záření. Při dávce 1 Gy přežívá 37 % kmenových buněk (D0), při dávce 5 Gy 1 %.
Pancytopenie. Změny v počtu krevních elementů tvořících se v kostní dřeni se rozvíjí nejdříve po 24 hodinách od ozáření. Úbytek buněk souvisí s počtem buněk dané linie v kostní dřeni a mírou úhynu. Destruované buňky z kostní dřeně mizí a jsou nahrazovány částečně lipocyty. Pokles buněčnosti kostní dřeně je doprovázen dilatací sinusoidů, což má za následek časné krevní extravasáty, které jsou podobné skutečným hemorragiím. V případě leukocytů je změna výrazná, kdežto u erytrocytů se i u úplného zastavení produkce nových buněk v kostní dřeni projeví poklesem populace o 0,8 % denně. Navíc, expozice organizmu dávkám ionizujícího záření se manifestuje úbytkem nezralých forem krvetvorných buněk, kdežto formy diferencovanější bývají kvantitativně nedotčeny a dále vyzrávají a jsou i po ozáření uvolňovány do krevního oběhu. Změny v krevním obraze se tudíž manifestují až po dozrání zachovaných diferencovanějších stádií krevních elementů, v čase, kdy hypoplastická až aplastická kostní dřeň není schopna uvolnit do krevního oběhu další zralé buňky. Proto jednotlivé krevní elementy mizí z periférie v závislosti na délce života.
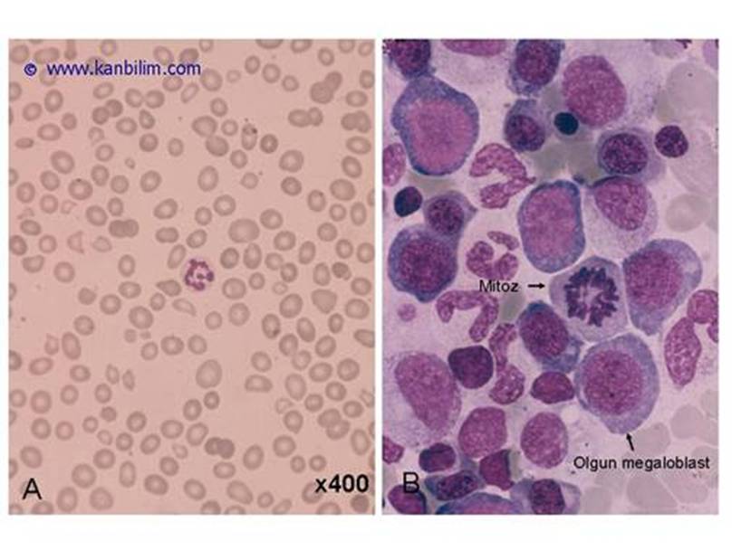
Fyziologický krevní nátěr (a - erytrocyty; b- neutrofil, c - eozinofil, d - lymfocyt).
Megaloblast.
Aplasie. Útlum krvetvorby je značným klinickým problémem a projevuje se deficitem funkcí, které jednotlivé linie krevních buněk zastávají. Insuficience tvorby erytrocytů se projevuje anémií, pokles trombocytů má za následek zvýšenou tendenci k nekontrolovatelnému krvácení a úbytek granulocytů vede ke snížené rezistenci proti infekcím po minimálně 10 dnech od ozáření a příznaky trvají až do konce 6. -8. týdne po ozáření. Běžně se nástup klinických příznaků, jako jsou anémie, krvácení a snížená rezistence k infekcím, objevuje za 2 až 3 týdny po ozáření. Obecně je tíže útlumu hematologických ukazatelů dávkově závislá. Přítomnost jiných poranění urychluje čas nástupu a celkově prohlubuje maximum útlumu krvetvorby. Rychlý pokles granulocytů po ozáření je způsoben poškozením a smrtí kmenových buněk a prekurzorů v kostní dřeni. Zralé, diferencované granulocyty jsou vůči ionizujícímu záření odolnější, mají však fyziologicky krátkou životnost. Zralé granulocyty jsou vůči ionizujícímu záření odolnější než lymfocyty, ale citlivější než granulocyty a trombocyty. Aktivita enzymů granulocytů (myeloperoxidázy) je radiorezistentní (120 Gy), podobně jako chemotaxe a tvorba superoxidu (175 Gy). Enzym superoxiddizmutáza je rovněž radioprotektivní. Pohyblivost granulocytů je lehce změněna od dávky 10 Gy. Typickým nálezem od 3. dne po celotělovém ozáření je leukopénie. V krvi přežívá pouze 5 % zralých neutrofilních granulocytů se sníženou bakteriocidní funkcí, čímž je prakticky zrušena první imunitní bariera chránící proti invazi mikroorganizmů. Od 5. dne po ozáření dávkou 3 - 30 Gy produkují buňky sleziny faktor GM-CSF (granulocyte macrophage colony stimulating factor), který podporuje diferenciaci granulocytů. U přežívajících jedinců je jednou ze známek reparace opětný výskyt eosinofilů a vzestup počtu neutrofilních granulocytů s vyšším zastoupením mladých forem, které snižují výsledný fagocytární index.
Lymfocyt. Kostní dřeň má značnou regenerační schopnost a i při dávkách přesahujících hodnotu 6 Gy přetrvávají ostrůvky schopné regenerace. Některá ložiska mohou být pouze abortivní, jiná právě postupně regenerují. V důsledku poškození chromozomů je možné pozorovat i četné abnormální mitózy a chromozómové aberace, z nichž některé mohou přetrvávat i řadu let. Jedná se především o výskyt chromatinových můstků, mikrojader, multioilárních mitóz a vznik obrovských buněk.
|