5.3.7 Dýchací systém

Zkušenosti z havárie atomové elektrárny v Černobylu ukázaly, že závažným medicínským problémem je poškození sliznice horních cest dýchacích. Toto poškození se prohlubuje zvláště v důsledku časté kontaminace dutiny ústní. Zářením je poškozován především epitel a nejcitlivější jsou kmenové buňky bazální vrstvy . Poškození se projevuje těžkým, obtížně hojitelným zánětem nejen tkání dýchacích cest, ale i okolního vaziva. Postižený si stěžuje na bolesti a zvýšenou dráždivost ke kašli.

Ozáření při vyšších dávkách než 20 Gy vyvolává v plicním parenchymu radiační pneumonitidu, která byla závažnou komplikací u postižených v Hirošimě i Nagasaki. Objevuje se alveolární výpotek, nezřídka, v důsledku poškození cév, s příměsí krve. V průběhu 2. - 6. měsíce přechází asi u 1/3 případů v plicní fibrózu. Pouze ojediněle se mohou v plicním parenchymu objevit radionekrotické kaverny.

Při kontaminaci mohou být radioaktivní látky přeneseny do tracheobronchiálního a mediastinálníholymfatického systému, kde mohou vyvolat lymfadenitidu s fibrózou a částečnou až úplnou deplecí germinálních center.

Pleura je vůči ionizujícímu záření rezistentní.

Po ozáření plic vznikají dva klinicko-patologické syndromy, radiační pneumonitida a radiační fibróza.

 

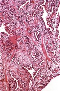
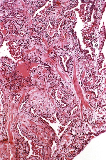
Plicní fibróza

Plicní fibróza.


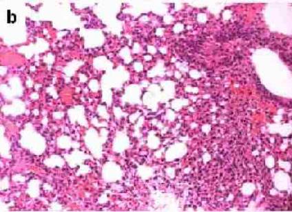
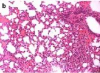
Radiační pneumonitida je definována jako exsudativní zánět vznikající jako následek ionizujícího ozáření a je považována za alveolitis z poškození pneumocytů a endoteliálních buněk. Poškození se manifestuje obvykle za 4 - 6 měsíců po ozáření plic jednorázovou dávkou 8 Gy a vyšší. Jedná se o změny v ozářených oblastech a jsou tedy ohraničené. Radiační pneumonitida se klinicky projevuje pod obrazem nehnisavého exsudativního zánětu, tj. dušností, neproduktivním kašlem, teplotou a pleuritickou bolestí. Objektivně se u sledovaných pacientů zjišťuje přítomnost chrůpků a horečky. V případě dekompenzace nemoci se rozvíjí akutní respirační nedostatečnost nebo akutní cor pulmonale. Při histologickém vyšetření v manifestační fázi jsou popisovány intersticiální intraalveolární edém, zánětlivá infiltrace alveolů, zmnožení makrofágů a zvýšená buněčnost vazivové tkáně. Prognóza nemoci záleží především na léčbě, ale i při použití současných léčebných možností umírá asi čtvrtina až polovina všech nemocných.

Radiační fibróza plic, tj. zmnožení fibrózní plicní tkáně, je konečným stádiem postradiačních plicních změn. Radiační fibróza plic je syndromem, který se objevuje po ozáření plicní tkáně ionizujícím zářením až po 30 týdnech a jako u radiační pneumonitidy po dávkách větších než 8 Gy. Ionizujícím zářením způsobené nekrotické změny jsou hojeny fibrotickou jizvou. Avšak proces hojení u ozářených tkání není stejný jako u konvenčních poranění, nýbrž je aktivován i několik let a fibrotické jizvy reprezentují nepravidelně uspořádaná kolagenní vlákna.

 

Postradiační změny v plicní tkáni

Postradiační změny v plicní tkáni.

 
 

powered by sirdik