| 5.3.6 Kardiovaskulární systém |
|
Srdeční tkáň je poměrně radiorezistentní. Radiační poškození srdečního svalu se klinicky vyskytuje sekundárně po lokálních ozářeních při frakcionovaném ozáření o celkové dávce 40 Gy jednotlivými frakcemi 2 Gy. Následkem je hemorrhagie, degenerace svalových vláken a následná fibróza. Podobné změny byly zaznamenány i při chronickém ozařování nízkými dávkami (do 0,1 Gy) při celkové dávce 18 - 24 Gy. Perikard je vůči ionizujícímu záření podstatně citlivější a důsledkem jeho poškození je zánět spojený s výpotkem a následnou fibrózou. U velkých cév je výstelka citlivější vůči ozáření než zbývající část cévní stěny. Nejvíce radiosenzitivní je výstelka kapilár. Následkem potom může být omezení, případně úplné uzavření průtoku krve cévou, resp. kapilárou s ischémií tkáně, která je artérií zásobena. Cévní postižení v důsledku radiačního poškození hraje klíčovou roli v postradiační orgánové patologii. Vzhledem ke všudypřítomnosti cév v organismu je celá řada zejména pozdních následků radiačního záření sekundární záležitostí vznikající v důsledku postižení cév (zejména arterií) různých kalibrů.
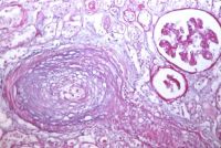
Radiační poškození cévy.
Postradiační cévní poškození je vždy spojeno se subintimálním edémem. Krevní plazma, která prosakuje přes poškozenou cévní bariéru, obsahuje tekutinu, ionty a biologicky málo aktivní látky např. albumin, ale i vysoce biologicky aktivní makromolekuly. Všechna uvedená fakta podporují zejména ta morfologická pozorování, která zdůrazňují endarteriální proliferaci a intersticiální fibrózu na úrovni drobných arterií a arteriol i skutečnost, že arteriální systém je mnohem více radiosenzitivní než systém venózní. Z uvedeného je zřejmé, že kvalita cévní bariéry alymfatická drenáž intersticia hrají významnou, ne-li klíčovou úlohu při indukci a rozvoji celé řady postiradiačních regeneračních a reparačních procesů, neboť podobné (specifické, receptorové), i když nikoliv tak komplexní účinky mají např. i angiotenzin II a α2 makroglobulin. Na poškození cévní stěny se mohou podílet i tkáně, které ji obkružují. Nejčastější příčina úmrtí u ozářených osob, pochopitelně mimo zhoubných onemocnění, je důsledkem postižení cévní stěny v centrálním nervovém systému, případně i mimo něj. Postižení drobných arterií: časné změny jsou mnohem méně vyznačeny, neboť arterie jsou relativně rigidní struktury. Nicméně, v průběhu času se rozvíjí evidentní poškození endotelu a médie. Jde zejména o fragmentaci a porušení membrana elastica interna, degenerativní změny buněk hladké svaloviny médie a její hyalinizace, fibrotizaceadventicie, která přechází do intersticia.
Fibróza arteriální stěny.
|