5.3.5 Nervová tkáň

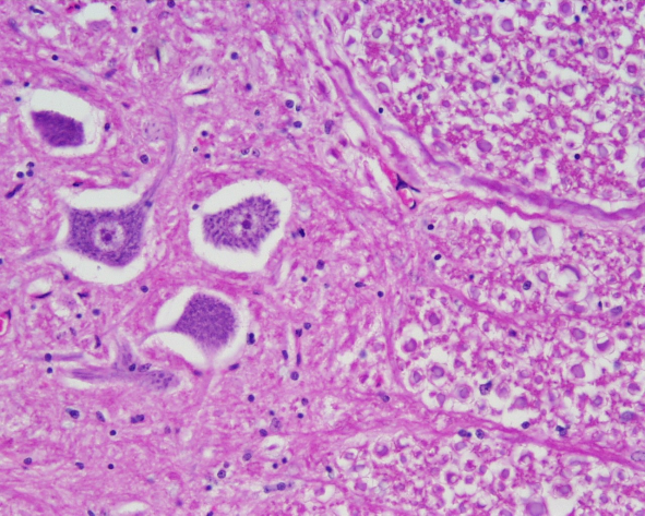
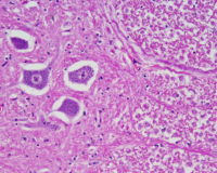
Nervová tkáň je po stránce funkční značně radiosenzitivní, zatímco po stránce morfologické radiorezistentní. Spodní hranicí neurovaskulárního syndromu je radiační dávka 30 Gy, při které se manifestuje cévní složka. Z patogenetického hlediska je nutné pohlížet na tento syndrom jako na jednotku, při které lze rozlišit mechanizmy vzniklé z poškození cév a mechanizmy rozvíjející se na podkladě poškození centrálně nervové soustavy. Postradiační poškození cév je manifestováno úbytkem endoteliálních buněk následované zvýšením permeability kapilár, jež způsobí únik plazmy do intersticia.

Při dávkách 50 - 70 Gy dochází k poškození nervových buněk v mozku, při dávkách vyšších je potom toto poško­zení nereparabilní. Nervová složka poškození převládá po ozáření dávkami asi 100 Gy a vyšší. Následkem neurovaskulární formy je vždy smrt. Při dávce do 100 Gy během několika dnů, při dávce 500 Gy během dvou hodin a dávka vyšší než 1 000 Gy smrtí okamžitě.

Při rozvoji postradiačního poškození centrálně nervového systému je popisována zejména demyelinizace a perivaskulární edém v bílé hmotě mozkové. V případech lokálního ozáření CNS ionizujícím zářením se rozvíjí ostře ohraničené nekrózy parenchymu,encefalomalacie. V šedé hmotě, zvláště pak v granulární vrstvě mozečku, dochází k hyperchromatizmu a k pyknóze buněk. Je narušena permeabilita cév jak v chorioideálních plexech, tak v mozkových plenách. Hrozí nebezpečí zánětu, jehož důsledkem je otok a následné poškození mozkové tkáně. Projevy hemorrhagické diatézy postihují především meningy. Porucha cévního zásobení mozku, zvláště bílé hmoty, může navodit pozdní demyelinizaci, encefalomalácii a případnou nekrózu. Důsledkem může být náhrada mozkové tkáně vazivem nebo vytvoření cysty.

Při působení ionizujícího záření na mozkovou tkáň dochází již při nízkých dávkách ke změnám elektroencefalografické aktivity.

V průběhu manifestní fáze při ozáření dávkami asi 100 Gy a vyšší lze pozorovat stálé zhoršování vědomí, respektive bezvědomí, s komatem a smrtí. Mohou se objevit tonicko-klonické křeče a lze naměřit i zvyšující se intrakraniální tlak. Neurovaskulární forma akutní nemoci z ozáření je doposud klinicko-patologickou jednotkou, která vede vždy k smrti.

 

Mícha

Mícha.

 

V míšní tkáni se objevují dystrofické změny při dávkách 20 - 30 Gy, spojené zejména radiační vaskulopatií a demyelinizací, které mohou způsobit až nekrózu tkáně.

Periferní nervy jsou po stránce funkční i morfologické značně radiorezistentní. V experimentu došlo u potkana k poškození ischiadického nervu teprve po dávce 750 Gy.

 
 

powered by sirdik